Для многих людей диагноз «киста почки» звучит пугающе, но в большинстве случаев он вовсе не означает серьёзных проблем. Простые кисты встречаются почти у каждого десятого взрослого, и в 95% случаев они никак не влияют на здоровье. Однако, когда речь идёт о сложных кистах или их быстром росте, вопрос диагностики и наблюдения становится более серьёзным.

Подготовка к УЗИ почек минимальна и обычно включает соблюдение простых рекомендаций. За 1–2 дня до процедуры рекомендуется исключить из рациона продукты, которые могут вызывать газообразование: это хлебобулочные изделия, бобовые, молочные продукты, газированные напитки. В день обследования желательно прийти на голодный желудок или, по крайней мере, не есть за 4–6 часов до процедуры. Если исследование назначено на утро, достаточно просто отказаться от завтрака.
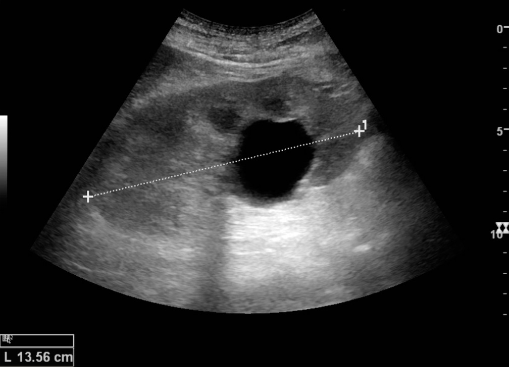
УЗИ позволяет оценить размеры почек, их расположение, структуру и наличие каких-либо изменений. Если была киста почки на УЗИ обнаружена, врач фиксирует её размеры (длину, ширину, глубину), изучает содержимое и определяет, насколько она влияет на функции почки.
Что может показать УЗИ: размеры, типы, риски
Результаты УЗИ предоставляют полную картину состояния почек и выявленных образований. Наиболее частые находки включают:
- Простые — одиночные образования с гладкими стенками, заполненные жидкостью. Они обычно не представляют опасности и наблюдаются без лечения.
- Сложные — образования имеют перегородки, утолщённые стенки или включения (например, кальцинаты или твёрдые частицы). Они могут потребовать дополнительных исследований для исключения злокачественного процесса.
- Поликистоз — генетическое заболевание, при котором в обеих почках формируется множество кист, постепенно заменяющих нормальную ткань органа. Такое состояние сопровождается нарушением функции почек и требует постоянного контроля.
- Мультикистоз — редкое состояние, при котором одна почка полностью замещается кистами и утрачивает свою функцию.
Размер кисты играет важную роль в оценке её значимости. Кисты размером до 1 см редко вызывают какие-либо симптомы. Однако если образование превышает 5 см, оно может сдавливать ткани почки, нарушать кровообращение или затруднять отток мочи. В таких случаях врач может порекомендовать дополнительные обследования, например, КТ или магнитно-резонансную томографию МРТ, чтобы детально изучить её структуру.
Когда нужна дополнительная диагностика и лечение
Дополнительная диагностика требуется, если результаты УЗИ показывают признаки сложной кисты или если образование сопровождается симптомами. Среди них могут быть боли в пояснице, кровь в моче, повышение артериального давления или признаки инфекции (например, температура, озноб).
Для уточнения диагноза врачи назначают:
- Анализы крови и мочи для оценки функции почек.
- КТ или МРТ для детального изучения структуры кисты.
- Ультразвуковую допплерографию для анализа кровотока в почках.
Лечение зависит от состояния кисты. Простые кисты, которые не вызывают дискомфорта и не нарушают функции почки, остаются под наблюдением. Пациенту рекомендуется проходить контрольное УЗИ раз в год. Если образование вызывает проблемы, могут быть предложены следующие методы:
- Пункция – минимально инвазивная процедура, при которой содержимое кисты удаляется с помощью иглы под контролем УЗИ. Затем в полость вводят склерозирующее вещество, чтобы предотвратить рецидив.
- Хирургическое удаление применяется в редких случаях, когда киста больших размеров или имеет риск злокачественного перерождения.
Своевременное обращение к врачу, регулярное наблюдение и выполнение рекомендаций позволяют эффективно контролировать состояние и избежать серьёзных осложнений. Кисты почек редко представляют угрозу для жизни, но требуют внимания, чтобы сохранить здоровье мочевыделительной системы.
Понравилась ли вам статья?